La forma de presentación del paciente con enfermedades o tumores hepáticos puede variar desde una clínica anodina hasta un cuadro florido de insuficiencia hepática con ictericia, ascitis y encefalopatía con hipertensión portal. En la exploración es por tanto importante insistir en investigar sobre la presencia de estos signos (ascitis, hepatomegalia, ictericia, etc.).
Las principales lesiones hepáticas son:
Adenoma: se trata de un tumor benigno que suele presentarse en mujeres jóvenes, siendo un factor de riesgo el uso de anticonceptivos orales durante un largo periodo de tiempo.
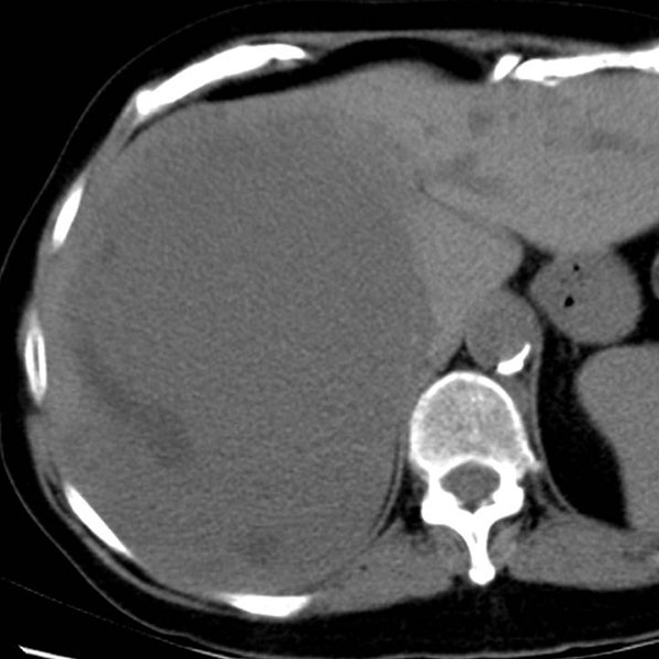
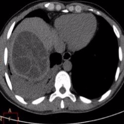
Hemangioma: es el tumor hepático más frecuente y es benigno. Generalmente se detectan de forma accidental cuando el paciente se somete a una ecografía o TC por otro motivo. Suelen ser asintomáticos y no requieren tratamiento quirúrgico.
Metástasis: son implantes tumorales procedentes de cánceres originados en otro órgano. Es el tumor hepático maligno más frecuente. Aunque existen muchos tipos de cáncer que pueden causar metástasis hepáticas, los más frecuentes son los digestivos (colon, páncreas, estómago). En función de su localización y características, las metástasis hepáticas asociadas a cáncer de colon son operables, pudiendo alargar la supervivencia del paciente.
Hepatocarcinoma: es el cáncer más frecuente asociado al hígado. En la mayoría de los pacientes aparecen sobre hígados cirróticos. Suele asociarse al virus de la hepatitis C y, menos frecuentemente, al B.Quiste hepático simple: son estructuras de pared imperceptible y llenas de líquido, que no comunican con la vía biliar. Su tamaño varía desde unos milímetros hasta gigantes. Pueden ser únicos o múltiples, y son más frecuente en las mujeres. Por lo general no causan síntomas y no requieren tratamiento. La cirugía está indicada cuando se complican (ruptura, hemorragia, compresión de órganos vecinos, dolor). La cirugía laparoscópica es la más recomendada en estos casos y consiste en defenestrar los quistes (extirpación parcial de la cápsula).Quiste hidatídico: Quistes producidos por las formas larvarias de un parásito (Echinoccocus granulosus) que habita en los perros y expulsa sus larvas enquistadas con las heces. Es la enfermedad parasitaria más frecuente en el hombre. Aunque generalmente anidan en el hígado, también puede afectar a otros órganos. Pueden ser únicos o múltiples. Los quistes hidatídicos deben operarse si no presentan signos de estar muertos (calcificaciones) dado que pueden presentar complicaciones (rotura a vía biliar, o a cavidad abdominal). El tratamiento quirúrgico consiste en la extirpación completa del quiste (quistoperiquistectomía).
Otras: Hiperplasia nodular focal, colangiocarcinoma, hamartoma, angiosarcoma, entre otras.

Adenoma

Hemangioma





